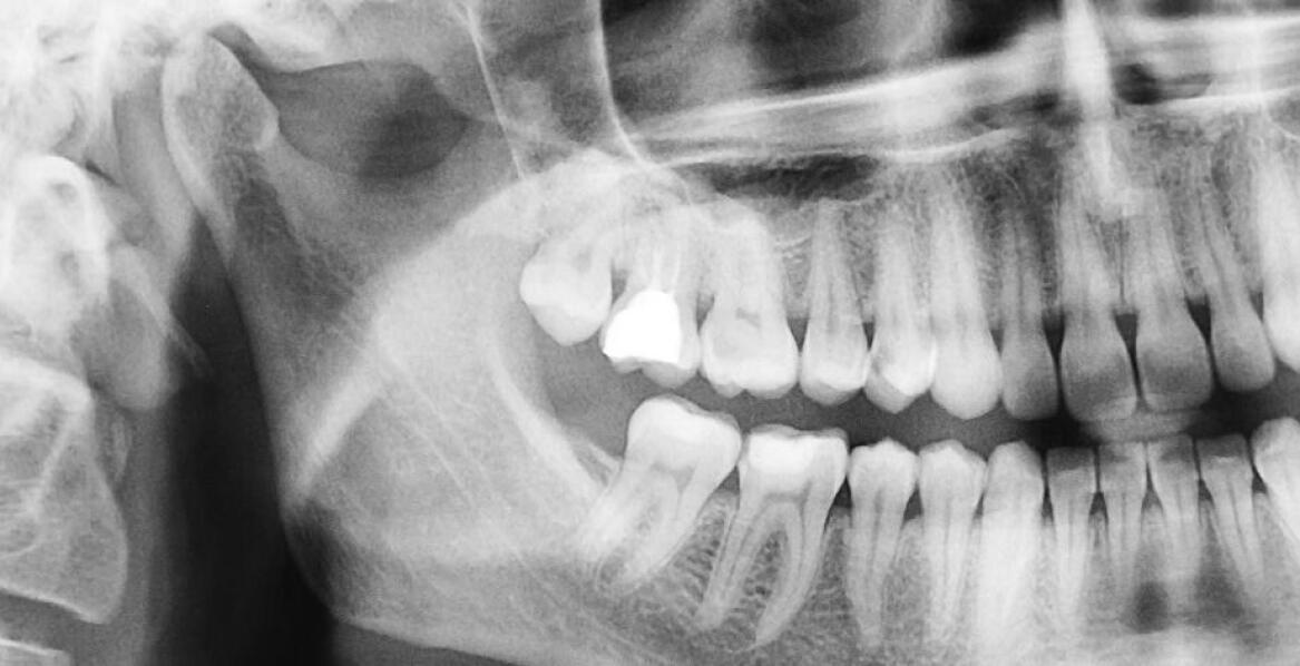
Wpływ dokładności pomiarów rentgenowskich na planowanie zabiegów
Precyzyjne pomiary rentgenowskie odgrywają kluczową rolę w planowaniu zabiegów stomatologicznych, zwłaszcza w kontekście endodoncji. Nowoczesne technologie pozwalają uzyskać obrazy o wysokiej jakości, co przekłada się na dokładną diagnozę oraz skuteczne leczenie. Warto zwrócić uwagę na znaczenie tyc


















