Artykuł sponsorowany
Wpływ dokładności pomiarów rentgenowskich na planowanie zabiegów

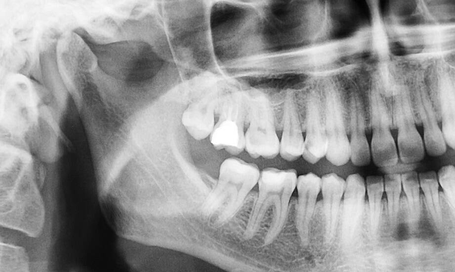
Precyzyjne pomiary rentgenowskie odgrywają kluczową rolę w planowaniu zabiegów stomatologicznych, zwłaszcza w kontekście endodoncji. Nowoczesne technologie pozwalają uzyskać obrazy o wysokiej jakości, co przekłada się na dokładną diagnozę oraz skuteczne leczenie. Warto zwrócić uwagę na znaczenie tych pomiarów w różnych aspektach opieki stomatologicznej oraz korzyści płynące z ich zastosowania. Dzięki temu pacjenci mogą liczyć na lepszą jakość usług oraz mniejsze ryzyko powikłań. Zachęcamy do dalszej lektury artykułu, aby poznać szczegóły dotyczące wpływu dokładności obrazowania rentgenowskiego na planowanie zabiegów stomatologicznych i endodoncję w Krakowie.
Przeczytaj również: Jakie są korzyści ze zrównoważonego rozwoju dla społeczeństwa?
Zastosowanie technologii w stomatologii
Technologia rentgenowska znajduje zastosowanie w różnych dziedzinach stomatologii, takich jak chirurgia, endodoncja w Krakowie czy protetyka. W każdej z tych specjalizacji precyzyjne obrazy są niezbędne do podejmowania właściwych decyzji dotyczących leczenia pacjentów. W endodoncji, znanej także jako leczenie kanałowe, dokładne zdjęcia rentgenowskie umożliwiają precyzyjne zlokalizowanie zmian chorobowych oraz ocenę stanu tkanek okołowierzchołkowych. Dzięki temu dentyści mogą skuteczniej przeprowadzać zabiegi i minimalizować ryzyko powikłań.
Przeczytaj również: Męska pielęgnacja z wykorzystaniem kolagenowej formuły
W chirurgii stomatologicznej obrazy te wspierają planowanie skomplikowanych operacji, takich jak usunięcie ósemek czy rekonstrukcje kości szczękowej. Natomiast w protetyce umożliwiają dokładne odwzorowanie kształtu i funkcji utraconych zębów, co przekłada się na lepsze dopasowanie protez oraz większy komfort dla pacjentów. Nowoczesne urządzenia do zdjęć panoramicznych i punktowych znajdujące się w laboratorium rentgenowskim gwarantują wysoką jakość obrazów przy minimalnej dawce promieniowania.
Przeczytaj również: Badania bioderek u niemowląt – dlaczego są tak ważne?
Bezpieczeństwo pacjentów w kontekście rentgenów
Bezpieczeństwo pacjentów w kontekście rentgenów jest kluczowym aspektem, który należy uwzględnić podczas planowania zabiegów endodontycznych. Nowoczesne urządzenia do zdjęć rentgenowskich, stosowane w gabinetach stomatologicznych, pozwalają na uzyskanie wysokiej jakości obrazów przy jednoczesnym minimalizowaniu dawek promieniowania. Dzięki temu osoby korzystające z usług są narażone na znacznie mniejsze ryzyko negatywnego wpływu na zdrowie. Warto również zwrócić uwagę na procedury stosowane w celu zapewnienia maksymalnej ochrony podczas badań rentgenowskich.
Przed wykonaniem zdjęcia lekarz stomatolog przeprowadza dokładną ocenę potrzeb oraz wybiera odpowiednią technikę obrazowania, która będzie najbardziej korzystna dla danej sytuacji klinicznej. Ponadto personel medyczny stosuje różne środki ochrony, takie jak osłony z ołowiu czy odpowiednie ułożenie pacjenta, aby zminimalizować ekspozycję na promieniowanie. W ten sposób można osiągnąć wysoką jakość obrazów rentgenowskich niezbędnych do precyzyjnego planowania zabiegów endodontycznych w Krakowie, jednocześnie dbając o zdrowie i bezpieczeństwo osób korzystających z usług stomatologicznych.
Przyszłość technologii rentgenowskich
W przyszłości technologii rentgenowskich w stomatologii możemy spodziewać się innowacji, które wpłyną na dalszy rozwój tej dziedziny. Nowe metody obrazowania oraz zaawansowane oprogramowanie do analizy danych mogą znacznie poprawić jakość i dokładność zdjęć rentgenowskich. Dzięki temu specjaliści będą mogli jeszcze precyzyjniej diagnozować problemy stomatologiczne oraz planować zabiegi, co przełoży się na lepsze efekty leczenia i większy komfort pacjentów.
Warto również zwrócić uwagę na rozwój technologii cyfrowych, które umożliwiają szybsze i bardziej efektywne wykonywanie zdjęć rentgenowskich oraz ich łatwiejsze przechowywanie i udostępnianie. To wszystko sprawia, że przyszłość endodoncji rysuje się w jasnych barwach, a pacjenci mogą liczyć na jeszcze lepszą jakość usług świadczonych przez dentystów w Krakowie.



